< Voltar

Celulas Sugestivas

#Leucemia #Leucograma #Hematoscopia #HemoClass Leucemias

Celulas Sugestivas
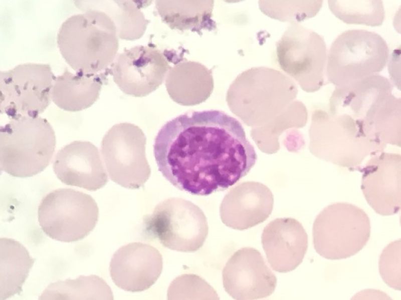
Na oncohematologia existem algumas alterações de hemograma ou células características que trazem consigo uma forte sugestão de uma ou outra patologia específica. Listamos algumas delas aqui.

1) Célula de Mott – Mieloma Múltiplo

2) Fagott Cell – LMA m3

3) Blastos em forma de Alteres – LMA m3V

4) Blastos com características monocitóides – LMA m4 e m5

5) Blastos basofílicos e vacuolizados – Linfoma de Burkit/LLA l3

6) Baskett Cell / Machas de Gumprecht – LLC

7) Blasto com Bastonete de Auer – LMA

8) Eritroblastos displásicos – SMD

9) Blastos com brotamentos – LMA m7 (mas pode aparecer em outras)

10) Célula em Espelho de Mão – Linfoma Leucemizado

11) Linfócitos pequenos com cromatina condensada (monotonia celular) – LLC

12) Flower Cell - Linfoma de célula T

Gostou desse artigo? Não deixe de comentar logo abaixo!!!

 
Gostou do nosso conte�do?
Cadastre-se para receber nossos conte�dos exclusivos.
< Voltar
(45) 99902-3030
contato@hemoclass.com.br