< Voltar

Howell Jolly Like em Neutrófilos

#Leucemia #Leucograma #Hematoscopia

Howell Jolly Like em Neutrófilos

1) O que são

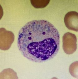
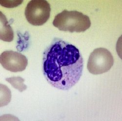
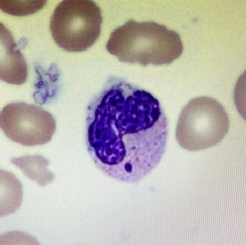
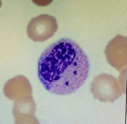
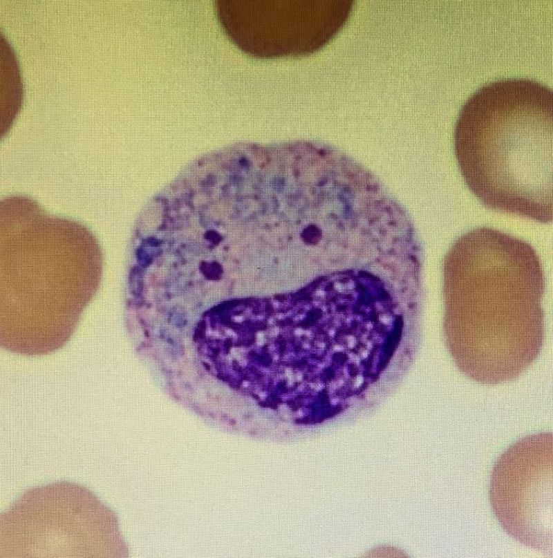
Inclusões citoplasmáticas arredondadas, pequenas, fortemente basofílicas (roxo‑escuro) em neutrófilos, que lembram visualmente os corpos de Howell‑Jolly dos eritrócitos. Estudos com coloração fluorescente (p.ex., DAPI) confirmam natureza DNA‑positiva (fragmentos nucleares).

Importante: não confundir com corpos de Howell‑Jolly em hemácias (marcadores de hipo/asplenia). As HJLI ocorrem em neutrófilos e estão ligadas principalmente a imunossupressão e granulopoiese estressada/displásica.


2) Características morfológicas (como reconhecer)

  • Formato/contorno: esférico a oval, bem delimitado.

  • Tamanho: pequeno (tipicamente < grânulo tóxico; semelhante ou um pouco maior que um ponto de cromatina).

  • Cor: basofílica intensa em colorações tipo Romanowsky (roxo escuro).

  • Número/posição: geralmente única por célula, localizada no citoplasma; pode haver raras múltiplas.

  • Células acometidas: predominantemente neutrófilos segmentados e bastonetes.

Dicas práticas

  • Aumente para imersão (100×) para avaliar contorno nítido e cor homogênea.

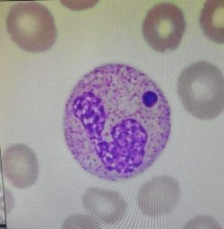
  • Se disponível, contraste com Döhle (azul‑claro mal delimitado) e com mórulas de Anaplasma/Ehrlichia (aglomerados múltiplos, maiores, aspecto “saco de uvas”).


3) Diagnóstico diferencial rápido

Achado Localização Cor/aspecto Dicas diferenciais
HJLI (neutrófilo) Citoplasma Ponto roxo‑escuro, redondo, bem nítido Geralmente único; DNA‑positivo; associação com imunossupressão/terapia
Döhle Citoplasma Mancha azul‑pálida, mal definida ER rugoso; costuma vir com toxicidade (grânulos tóxicos, vacúolos)
Mórula (Anaplasma/Ehrlichia) Citoplasma Aglomerado de grânulos finos Várias “bolinhas” juntas; quadro febril/leucopenia plausível
Corpúsculo de Barr Núcleo (apêndice) “Drumstick” ligado à cromatina Visto em mulheres; é apêndice nuclear, não inclusão citoplasmática

4) Como reportar no laudo

Campo: Morfologia leucocitária / observações

  • Modelo 1 (achado discreto): “Inclusões tipo Howell‑Jolly em neutrófilos, raras.”

  • Modelo 2 (achado significativo): “Inclusões tipo Howell‑Jolly em neutrófilos: ocasionais a frequentes. Achado descrito em pacientes imunossuprimidos (p.ex., pós‑transplante, HIV, quimioterapia) e em granulopoiese displásica; correlacionar com quadro clínico/terapêutico.”

  • Quantificação sugerida (opcional): classificar como raras (<1/100 neutrófilos), ocasionais (1–5/100), frequentes (>5/100), conforme contagem estimada em 200 leucócitos.

  • Quando acrescentar comentário: se novo no prontuário, se numerosas, ou se não há histórico de imunossupressão conhecido.

Exemplo de comentário curto:

“As inclusões observadas têm morfologia compatível com Howell‑Jolly‑like em neutrófilos, descritas em contextos de imunossupressão (p.ex., antivirais análogos de nucleosídeos, tacrolimo, quimioterapia), infecções virais e displasia granulocítica. Sugerimos correlação com medicações, histórico de transplante/HIV e achados clínico‑laboratoriais associados.”


5) Significado clínico e associações descritas

  • Imunossupressão: pós‑transplante sólido ou de células‑tronco; uso de tacrolimo/calcineurínicos, quimioterapia.

  • Antivirais (análogos de nucleosídeos) e terapia antirretroviral.

  • HIV/AIDS e infecções virais (ex.: relatos em COVID‑19).

  • Síndromes mielodisplásicas (SMD) e granulopoiese estressada/displásica.

Interpretação: achado inespecífico, porém sinalizador de contexto clínico. Não confere, por si, diagnóstico etiológico ou prognóstico independente; deve ser interpretado junto a história, medicações e demais alterações morfológicas (p.ex., pseudo‑Pelger, grânulos tóxicos).


6) Recomendações operacionais para o laboratório

  1. Confirmar em imersão e por dupla leitura quando possível.

  2. Registrar e graduar (rara/ocasional/frequente) no LIS.

  3. Verificar histórico no pedido/prontuário: transplante, HIV, quimioterapia, antivirais/imunossupressores.

  4. Sugerir correlação clínica no laudo quando achado for novo ou proeminente.

  5. Em suspeita clínica de anaplasmose/ehrlichiose (febre, citopenias, exposição a carrapato), alertar o médico e considerar testes específicos.


7) Ilustrações (para treinamento interno)

  • Exemplos de HJLI em neutrófilos (banco de imagens hematológicas em materiais didáticos do serviço).

  • Painel comparativo com Döhle, mórulas e corpúsculo de Barr.


8) Nota de educação continuada

Este informativo sintetiza evidências de relatos de caso, séries e revisões recentes. O fenômeno é raro, porém relevante em populações imunossuprimidas. Manter a equipe treinada para não confundir com inclusões infecciosas ou alterações nucleares fisiológicas (Barr).

Gostou do nosso conte�do?
Cadastre-se para receber nossos conte�dos exclusivos.
< Voltar
(45) 99902-3030
contato@hemoclass.com.br