< Voltar

O Laboratório na LLC

#Leucemia #Hematoscopia #exames

O Laboratório na LLC
As Leucemias são situações neoplásicas que costumeiramente aparecem no laboratório de diversas formas possíveis. Dentre os subtipos de leucemias se encontra a Leucemia Linfóide Crônica - LLC. É uma leucemia que acomete preferencialmente idosos acima dos 55 anos, e traz alguns achados bem característicos na hematoscopia do paciente.
 
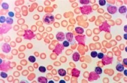
Nesta leucemia, por ser crônica, se encontra basicamente duas morfologias linfocitárias que são pró-linfócito e linfócito. Muitas vezes os pró-linfócitos não são identificados, sendo contados como linfócitos. É necessário que estas células sejam identificadas para uma sugestão diagnóstica mais clara. O pró-linfócito costuma se diferenciar por apresentar um ou dois nucléolos bem evidentes em seu núcleo, além de uma cromatina um pouco mais frouxa que a do linfócito.
 
Outro achado importante são as manchas de Gumprecht. Nesta leucemia os linfócitos circulantes demoram mais tempo para entrar em apoptose, e por ficarem velhos, ficam mais frágeis. Neste contexto, ao fazer a extensão sanguínea, estas células mais velhas arrebentam, sendo expressas como manchas de Gumprecht na hematoscopia.
 
A tríade leucemia (Leucocitose+anemia+trombocitopenia) geralmente não acontece nesse tipo de leucemia. Aqui existe um acúmulo de células maduras, que é o que causa a leucocitose, diferentemente das leucemias agudas aonde a proliferação medular é o ponto central do processo. Na grande maioria das vezes encontramos leucocitose isolada ou associado ou à anemia ou à trombocitopenia de forma leve.
 
Trocando em miúdos:
Se você achar uma leucocitose às custas de uma linfocitose na lâmina, com presença de pró-linfócitos e manchas de Grumprecht fica esperto. Associando isso à  idade avançada do paciente, pode ser um forte indício de LLC. Outro ponto é a linfocitose persistente por mais de 4 semanas sem causa aparente.
 
Embora seja uma leucemia, a LLC não costuma ser tão agressiva quanto as LMAs, e muitas vezes é diagnosticada em exames de rotina com o paciente assintomático. Mas de qualquer forma deve ser feito o mielograma e os exames para confirmação do quadro.
 
Gostou de nosso conteúdo? Se inscreve ai abaixo e receba em seu email as novidades aqui do Super Blog HemoClass!!!
Gostou do nosso conte�do?
Cadastre-se para receber nossos conte�dos exclusivos.
< Voltar
(45) 99902-3030
contato@hemoclass.com.br