< Voltar

Pelger Huet

Por: Paulo Merisio em #Leucograma #Consultoria

Pelger Huet
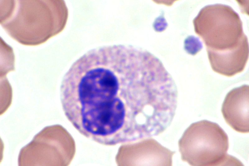
A anomalia de Perger-Huet é uma condição hereditária caracterizada pela hipolobulação dos granulócitos. Esta situação e evidenciada nos neutrófilos, os quais apresentam-se, na maioria, com 2 lobos, e muitos se assemelham à forma de bastonete. Diferentemente dos neutrófilos bastonetes em indivíduos sem a anomalia, os neutrófilos de Pelger Huet apresentam cromatina nuclear bastante condensada.

Os portadores de Pelger Huet não apresentam problemas clínicos, sendo esta situação somente morfológica. Entretanto os casos de hiposegmentação podem confundir os neutrófilos hiposegmentados com neutrófilos bastonetes, o que poderia simular um Desvio Nuclear à Esquerda, sugerindo assim um falso diagnóstico de quadro inflamatório agudo. Além dos neutrófilos hiposementados, não há outra alteração do hemograma destes pacientes.

O Pelger é sugerido quando a morfologia dos granulócitos é sugestiva, e o paciente, apresenta ausência de sintomatologia clínica.

Como relatar?
No laudo deve-se relatar da seguinte forma: Presença de neutrófilos hiposementados, com morfologia sugestiva de Pelger Huet
O paciente deve ser avisado desta anomalia e deve ser instruído à relatar sempre que for ao laboratório fazer algum exame. 



PS: Lançamos recentemente uma oportunidade única à nossos leitores: A oportunidade de fazer 4 aulas de nosso curso online de Hemostasia e Coagulação totalmente GRÁTIS!!! Isso mesmo!!!
Basta acessar o link abaixo e se inscrever, você receberá estas aulas em seu e-mail e terá a oportunidade de conhecer o melhor curso online sobre Hemostasia e Coagulação do Brasil!!!


Clique aqui e receba este conteúdo EXCLUSIVO para quem acompanha nossa página no facebook e para quem é leitor de nosso blog. 

 
Gostou do nosso conte�do?
Cadastre-se para receber nossos conte�dos exclusivos.
< Voltar
(45) 99902-3030
contato@hemoclass.com.br