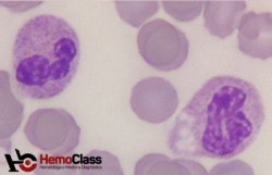
Neutrofilo Hipersegmentado      
      
      
      
      
Warning:  strtotime(): It is not safe to rely on the system's timezone settings. You are *required* to use the date.timezone setting or the date_default_timezone_set() function. In case you used any of those methods and you are still getting this warning, you most likely misspelled the timezone identifier. We selected the timezone 'UTC' for now, but please set date.timezone to select your timezone. in /home/hemocla/public_html/site/blog.php on line 179
Warning:  date(): It is not safe to rely on the system's timezone settings. You are *required* to use the date.timezone setting or the date_default_timezone_set() function. In case you used any of those methods and you are still getting this warning, you most likely misspelled the timezone identifier. We selected the timezone 'UTC' for now, but please set date.timezone to select your timezone. in /home/hemocla/public_html/site/blog.php on line 179
16/10/2018 | 
      
 #Leucograma 
          
  
   #Hematoscopia
          
  
   #exames
 
        
  
   #Leucograma 
          
  
   #Hematoscopia
          
  
   #exames
  
       
      
      Sabe aquele neutrófilo que parece estar “passando mais tempo na balada do que deveria”? Pois é, ele está aí, com um comportamento um pouco fora do normal, e é a partir disso que surgem as alterações hematológicas que precisamos identificar e relatar.
O neutrófilo hipersegmentado é uma célula que circula por mais tempo do que o esperado na corrente sanguínea, o que faz com que sua lobulação (as “orelhas” que ele tem) fique exagerada, como se estivesse tentando se destacar em uma multidão. Isso acontece por um problema na produção de neutrófilos, que, ao invés de serem rapidamente retirados da circulação, acabam ficando mais tempo no sangue periférico e acabam com lobos a mais.
Como Identificar o Neutrófilo Hipersegmentado?
Por um bom tempo, a definição de neutrófilo hipersegmentado exigia que um neutrófilo tivesse 7 lobos ou 2 neutrófilos com 6 lobos para que a alteração fosse considerada. No entanto, novas orientações mais recentes estabeleceram um padrão mais simples: qualquer neutrófilo com 6 ou mais lobos já é considerado hipersegmentado! Isso mesmo, se você encontrar apenas um neutrófilo com 6 lobos, já é suficiente para identificar a alteração.
Critérios de Identificação:
	
	Antes: Era necessário ter neutrófilo com 7 lobos ou dois neutrófilos com 6 lobos para identificar a hipersegmentação.
	
	
	Agora: Qualquer neutrófilo com 6 ou mais lobos já configura a alteração, sem a necessidade de uma contagem exata.
	
Como Liberar o Laudo?
Você não precisa contar quantos neutrófilos apresentam esse comportamento. Apenas relatar a presença de neutrófilos hipersegmentados já é o suficiente para a liberação do laudo. E vale destacar que o termo "desvio à direita", que era utilizado antigamente para descrever essa alteração, caiu em desuso. Portanto, o que importa é simplesmente observar a presença desses neutrófilos e registrar no laudo.
O Que Essa Alteração Significa?
Agora, vamos ao "por que" dessa bagunça. Quando você se depara com neutrófilos hipersegmentados, está diante de um problema na produção dessas células. Esse quadro é comumente associado a anemia megaloblástica, que ocorre por deficiência de folato ou vitamina B12. Nesse contexto, a medula óssea encontra dificuldades para realizar as mitoses (divisão celular), afetando todas as linhagens celulares, como hemácias e neutrófilos. Mas não é só isso! Neutrófilos hipersegmentados também podem aparecer em casos de síndromes mielodisplásicas e em pacientes em tratamento quimioterápico com antagonistas do ácido fólico.
Um ponto importante: esses neutrófilos não são reativos! Isso significa que, embora antigos relatos tentassem associar a hipersegmentação a infecções virais, essa relação não é verdadeira.
Conclusão 
Entender e identificar neutrófilos hipersegmentados pode parecer um desafio, mas com o conhecimento certo, isso se torna uma tarefa fácil. Se você quer aprimorar suas habilidades e aprender como reconhecer, relatar e relacionar TODAS as alterações hematológicas com precisão e segurança, não deixe de conhecer o Curso Hematologia Prática. Com esse curso, você vai destravar os segredos da hematologia de alto nível e se tornar um especialista em hemogramas de alta complexidade.
Clique aqui para descobrir o que você precisa para elevar sua prática hematológica ao próximo nível!
https://hemoclasscursos.com.br/hematologia-pratica-b/